smile suite dental clinic
-à propos-
Chez Smile Suite Dental Clinic, notre mission est de redonner confiance à chaque patient grâce à un sourire sain et éclatant. Situé à Bir Mourad Raïs, notre cabinet associe expertise, esthétique et technologies de pointe pour offrir des soins dentaires personnalisés, confortables et durables. Parce que votre sourire est notre plus belle réussite.
Nos prestations
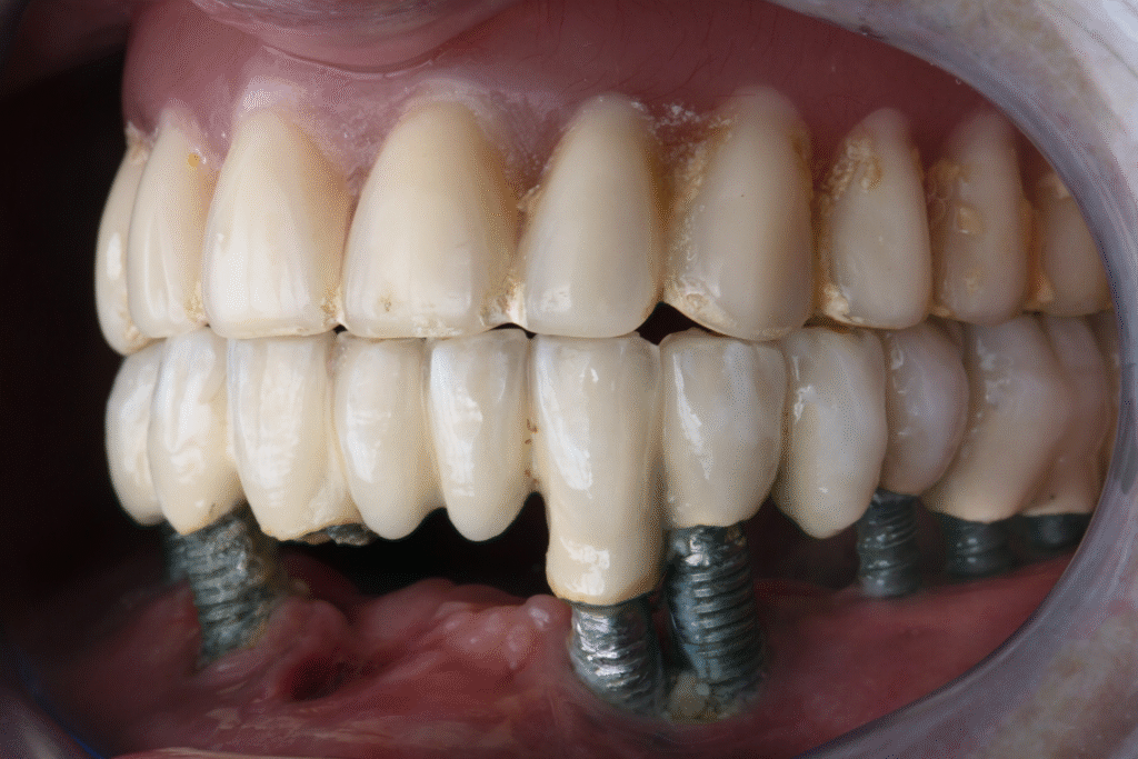
Prothèses et restaurations dentaires
Nous proposons des solutions durables avec des couronnes, bridges, chappes en zircone teintées ou non, Full Zircone, Full Céramique 3D, PMMA et Cut Back, assurant confort, solidité et esthétique.
Soins dentaires esthétiques
btenez un sourire éclatant grâce à nos facettes en céramique, couronnes en zircone, céramique Emax et le célèbre Hollywood Smile. Chaque traitement est personnalisé pour un rendu naturel et harmonieux.
Traitements avancés et implants
Des implants dentaires robustes, des onlays en céramique et des traitements orthodontiques (ODF) pour corriger les malpositions et rétablir la santé bucco-dentaire.
F.A.Q.
C’est une fine coque en céramique collée sur la dent pour corriger sa forme ou sa couleur, offrant un résultat esthétique naturel.
La zircone est très résistante, idéale pour les dents postérieures, tandis que l’Emax offre un rendu plus translucide pour les dents visibles.
La zircone est très résistante, idéale pour les dents postérieures, tandis que l’Emax offre un rendu plus translucide pour les dents visibles.
Non, il est indolore. Il peut inclure facettes, blanchiment ou couronnes selon les besoins, pour un sourire parfaitement aligné et blanc.
Ce que disent nos patients
Posted on Dounia BouguestourTrustindex verifies that the original source of the review is Google. Je souhaite partager mon excellente expérience chez Smile Suit Dental Clinic. Un immense merci au Dr Derradj qui a réalisé mes soins avec beaucoup de professionnalisme, de gentillesse et d’attention. Je suis vraiment ravie du résultat ! Merci également au Dr Loukarfi ainsi qu’à toute l’équipe de Smile Suit Dental Clinic pour leur excellent travail. Je recommande cette clinique les yeux fermésPosted on Amira BfTrustindex verifies that the original source of the review is Google. Je tiens à remercier Dr Derradj pour l'incroyable travail qu'il a réalisé sur mon sourire. Grâce à son expertise, j'ai un magnifique Hollywood Smile, avec un résultat naturel qui dépasse mes attentes ! En plus, il a effectué deux extractions de dents de sagesse en seulement 5 minutes chacune, sans aucune douleur. Son professionnalisme, sa précision et son souci du détail sont tout simplement remarquables. Je recommande vivement Dr Derradj à tous ceux qui recherchent un spécialiste compétent et attentif à leurs besoins. Merci docteur 🙏🏻🙏🏻Posted on RäHïM RäHïMőTrustindex verifies that the original source of the review is Google. Je suis vraiment satisfait du travail de l'équipe smile Suite, un excellent travail, surtout concernant la prothèse dentaire, il propose un service et un suivi à la perfection, avec des prix imbattables, merci beaucoup smile Suite 😁.Posted on wail derradjTrustindex verifies that the original source of the review is Google. Cabinet propre , équipe professionnelle 🤝Posted on Ricci FouadTrustindex verifies that the original source of the review is Google. مكان ممتاز، خدمة جد احترافية باستعمال أدوات و آلات جديدة و حديثة. جد راضي بالخدمة و السعر. شكرا لكم و اتمنى لكم كل النجاح و التألق في مسيرتكم المهنية.Posted on Ghani KblTrustindex verifies that the original source of the review is Google. J'ai été impressionné par les résultats exceptionnels, la disponibilité des moyens et le traitement professionnel. Bon couragePosted on yacine TalbiTrustindex verifies that the original source of the review is Google. Bien
